Efeito da altura da camada de impressão na precisão e ajuste de contenções de prototipagem rápida
Artigo Original
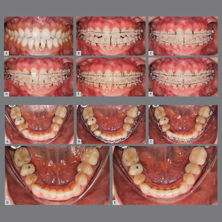
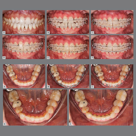
Objetivo: O objetivo deste estudo foi avaliar comparativamente a precisão e o ajuste de contenções transparentes de prototipagem rápida impressos em duas alturas de camada diferentes (100 μm e 50 μm) usando uma impressora 3D de estereolitografia de baixa força (LFS). Métodos: Quarenta e duas contenções foram projetadas digitalmente usando o software de design auxiliado por computador (CAD) Maestro 3D Dental (AGE Solutions, Pisa, Itália) e impressas por prototipagem rápida usando uma impressora LFS (Formlabs Inc, Somerville, MA, EUA). Metade das contenções (21) foram impressas em...
Autores: Prabhat Kumar Chaudhari, Pranita GUPTA, Ritu DUGGAL, Vilas D SAMRIT,
Introdução: Apesar de seu apelo estético e crescente popularidade, os alinhadores enfrentam limitações significativas na realização de movimentos ortodônticos complexos, como extrusão anterior, rotações severas e distalização eficiente dos molares. Esses desafios biomecânicos frequentemente resultam em maior duração do tratamento e menor previsibilidade. Objetivo: O presente artigo explora a abordagem híbrida, que combina a eficiência biomecânica dos aparelhos fixos na...
Leia maisIntrodução: Expansão rápida da maxila (ERM) é um procedimento ortopédico usado para corrigir deficiências transversais maxilares pela aplicação de forças por meio de aparelhos especializados. Essa intervenção induz alterações dentárias e esqueléticas, que podem potencialmente provocar respostas fisiológicas de estresse. Objetivo: Validar um modelo para estimar o estresse medindo os níveis plasmáticos de cortisol em camundongos submetidos à ERM rápida. Métodos: Camundongos...
Leia maisIntrodução: A obstrução nasofaríngea pode alterar o crescimento craniofacial além de provocar impacto psicossocial e na qualidade de vida. Dessa forma é importante identificar o potencial de terapias ortodônticas em alterar as dimensões das vias aéreas. Objetivos: Avaliar as alterações em longo prazo nas dimensões das vias aéreas faríngeas em pacientes com Classe II esquelética tratados com aparelho extrabucal de puxada cervical. Material e Métodos: Foi realizado um estudo...
Leia maisObjetivo: O objetivo do presente estudo foi investigar a relação entre o padrão de abertura bucal e o padrão esquelético facial em uma população do sul da Itália. Materiais e Métodos: Este estudo retrospectivo incluiu 415 indivíduos. O padrão esquelético sagital foi classificado em Classe I, II e III, de acordo com o ângulo ANPg, e o padrão de crescimento vertical foi classificado como hipodivergente, normodivergente e hiperdivergente, com base no ângulo SNGoGn. Os registros de...
Leia maisIntrodução: O objetivo do presente estudo foi avaliar a precisão do diagnóstico das lupas dentárias autofluorescentes Reveal para detectar biofilme, desmineralização e cárie ao redor de braquetes ortodônticos. Métodos: Foram selecionados 60 pacientes, sendo 30 pacientes sem tratamento ortodôntico (grupo controle) e 30 pacientes submetidos a tratamento ortodôntico (grupo experimental). Os 30 pacientes sem tratamento ortodôntico foram avaliados clinicamente por dois avaliadores...
Leia maisIntrodução: A inteligência artificial (IA) na saúde aumentou suas aplicações nos últimos anos. A grande quantidade de dados disponível, devido ao aprimoramento do armazenamento e dos exames digitais, proporcionou um melhor conhecimento no planejamento do tratamento e abriu novas possibilidades de aplicação da IA no diagnóstico e planejamento ortodôntico. Objetivo: O objetivo desta revisão de escopo foi examinar quando os modelos de IA aprimoram o processo de tomada de decisão...
Leia maisObjetivo: O objetivo deste estudo foi avaliar comparativamente a precisão e o ajuste de contenções transparentes de prototipagem rápida impressos em duas alturas de camada diferentes (100 μm e 50 μm) usando uma impressora 3D de estereolitografia de baixa força (LFS). Métodos: Quarenta e duas contenções foram projetadas digitalmente usando o software de design auxiliado por computador (CAD) Maestro 3D Dental (AGE Solutions, Pisa, Itália) e impressas por prototipagem rápida usando uma...
Leia maisObjetivo: O objetivo do presente estudo foi avaliar as alterações volumétricas tridimensionais no espaço da articulação temporomandibular (ATM) após cirurgia de avanço mandibular em casos de Classe II esquelética com mandíbulas retrognáticas. A hipótese nula para este estudo foi a de que não haveria alterações estatísticas após a cirurgia ortognática. Material e métodos: Foi realizado um estudo retrospectivo com 30 documentações contendo tomografia computadorizada de...
Leia maisIntroduction: Despite their aesthetic appeal and rising popularity, clear aligners face significant limitations in performing complex orthodontic movements such as anterior extrusion, severe rotations, and efficient molar distalization. These biomechanical challenges often result in longer treatment durations and reduced predictability. Objective: This article explores the hybrid treatment approach, which combines the biomechanical efficiency of fixed appliances in the initial phase with the...
Leia maisIntroduction: Rapid maxillary expansion (RME) is an orthopedic procedure used to correct maxillary transverse deficiencies by applying forces through specialized appliances. This intervention induces both dental and skeletal changes, which may potentially elicit physiological stress responses. Objective: To validate a model for estimating stress by measuring plasma cortisol levels in mice subjected to rapid RME. Methods: 5-6-week-old male mice (C57BL6/J) were submitted to RME performed by an...
Leia maisIntroduction: Nasopharyngeal obstruction may influence craniofacial growth, lead to psychosocial impairments, and adversely affect quality of life. Thus, it is important to identify the potential of orthodontic therapies to alter the dimensions of the airways. Objectives: To evaluate the long-term changes in pharyngeal airway dimensions in skeletal Class II patients treated with cervical headgear appliance. Material and Methods: A retrospective study was conducted with 20 patients treated by...
Leia maisObjective: The aim of the present study was to investigate the relationship between mouth opening pattern and facial skeletal pattern in a southern Italian population. Materials and Methods: This retrospective study included 415 subjects. The sagittal skeletal pattern was classified in Class I, II, and III according to ANPg angle and the vertical growth pattern was classified as hypodivergent, normodivergent, and hyperdivergent according to SNGoGn angle. Maximum mouth opening (MM0) records...
Leia maisIntroduction: The aim of the present study was to evaluate the diagnostic accuracy of Reveal autofluorescent dental loupes for detecting biofilm, demineralization, and caries around orthodontic brackets. Methods: Sixty patients were selected, being thirty patients without orthodontic treatment (control group) and thirty patients undergoing orthodontic treatment (experimental group). The 30 patients without orthodontics treatment were clinically evaluated by two previously calibrated...
Leia maisIntroduction: Artificial intelligence (AI) in health has increased its applications over the last years. The large amount of data available due to the improvement of data storage and digital exams provided better knowledge in treatment planning and opened new possibilities of applications of AI in Orthodontics’ diagnosis and treatment planning. Objective: The aim of this scoping review was to examine when AI models enhance the clinical decision-making process in orthodontic diagnosis and...
Leia maisIntroduction: The purpose of this study was to comparatively evaluate the accuracy and fit of rapid-prototyped clear retainers printed at two different layer heights (100 μm and 50 μm) using a low-force stereolithography (LFS) 3D printer. Methods: Forty-two retainers were digitally designed using Maestro 3D Dental computer aided designing (CAD) software (AGE Solutions, Pisa, Italy) and rapid prototyped using an LFS printer (Formlabs Inc, Somerville, MA, USA). Half of the retainers (21)...
Leia maisObjective: The aim of the present study was to assess three-dimensional volumetric changes in the temporomandibular joint (TMJ) space after mandibular advancement surgery in skeletal Class II cases with retrognathic mandibles. The null hypothesis for this study posited that there would be no statistical changes after orthognathic surgery. Materials and methods: A retrospective study was conducted on 30 cone-beam computed tomographic (CBCT) records of skeletal Class II patients with...
Leia maisCopyright © 1996 - 2024 DentalGO | Todos Direitos Reservados. DentalGO é uma marca Dental Press
Login