Artigo: Entrevista com Eduardo Sant’Ana - Clinical 2025 v24n05 - DentalGO


Entrevista com Eduardo Sant’Ana

Entrevista

Com muita honra e apreço apresento-lhes nesta entrevista o meu amigo, o pesquisador, o mentor, o clínico... o Prof. Eduardo Sant’Ana. Em 1997, tive a oportunidade e o privilégio de conhecer o Eduardo no meu curso de Doutorado em Ortodontia na FOB-USP. Na verdade, fui seu aluno na Disciplina de Cirurgia Ortognática. Desde então, o Eduardo tem sido o meu cirurgião para casos de Ortognática, e compartilhamos belíssimos casos que foram esculpidos e lapidados com deleite pelas mãos do artista Eduardo. O professor Eduardo é uma das maiores referências contemporâneas da Cirurgia e...

Autores: Eduardo Sant’ana, Marcio Almeida, Bruno Furquim, Júlio GURGEL, 

Contenção, recidiva e movimentação dentária inadvertida: o desafio silencioso desse inimigo invisível da Ortodontia
Contenção, recidiva e movimentação dentária inadvertida: o desafio silencioso desse inimigo invisível da Ortodontia

A contenção sempre foi tratada como o capítulo final da Ortodontia — quando, na verdade, sabemos que ela representa apenas o início da fase mais longa, difícil e, muitas vezes, mais imprevisível pós-tratamento ortodôntico, especialmente se usamos contenções fixas. Pois é, meus amigos, apesar dos avanços tecnológicos que vivenciamos na Ortodontia nos últimos 20 anos — em especial o diagnóstico e planejamento 3D, a impressão direta de braquetes e alinhadores, a ancoragem...

Leia mais
Entrevista com Eduardo Sant’Ana
Entrevista com Eduardo Sant’Ana

Com muita honra e apreço apresento-lhes nesta entrevista o meu amigo, o pesquisador, o mentor, o clínico... o Prof. Eduardo Sant’Ana. Em 1997, tive a oportunidade e o privilégio de conhecer o Eduardo no meu curso de Doutorado em Ortodontia na FOB-USP. Na verdade, fui seu aluno na Disciplina de Cirurgia Ortognática. Desde então, o Eduardo tem sido o meu cirurgião para casos de Ortognática, e compartilhamos belíssimos casos que foram esculpidos e lapidados com deleite pelas mãos do...

Leia mais
Compensação dentoesquelética extrema de mordida aberta anterior esquelética severa tratada com Invisalign®
Compensação dentoesquelética extrema de mordida aberta anterior esquelética severa tratada com Invisalign®

INTRODUÇÃO: A mordida aberta anterior é uma má oclusão desafiadora, frequentemente associada a discrepâncias esqueléticas e verticais. Com a evolução da tecnologia dos alinhadores transparentes, o Invisalign® tornou-se uma opção viável para o tratamento de casos complexos, quando planejado adequadamente. RELATO DE CASO: Este relato de caso descreve o tratamento de uma paciente com 28 anos de idade, com mordida aberta anterior esquelética grave e leve relação de Classe III...

Leia mais
Prevalência e necessidade de customização em expansores MARPE: influência anatômica e biomecânica em 120 casos planejados digitalmente
Prevalência e necessidade de customização em expansores MARPE: influência anatômica e biomecânica em 120 casos planejados digitalmente

OBJETIVO: Avaliar a prevalência e os fatores anatômicos e biomecânicos que determinaram o grau de customização em expansores maxilares tipo MARPE planejados digitalmente. MÉTODOS: Foram analisados 120 planejamentos consecutivos realizados em um centro de diagnósticos em Sorocaba/SP, com integração entre tomografia computadorizada de feixe cônico (TCFC) e modelos digitais STL. Os aparelhos foram classificados segundo o grau e o tipo de modificação anatômica e biomecânica,...

Leia mais
Protocolo de aumento da altura facial anterior inferior em pacientes adultos não cirúrgicos. Uma abordagem biomecânica conservadora, com rotação horária da mandíbula: relato de caso
Protocolo de aumento da altura facial anterior inferior em pacientes adultos não cirúrgicos. Uma abordagem biomecânica conservadora, com rotação horária da mandíbula: relato de caso

INTRODUÇÃO: A abordagem cirúrgica representa a terapêutica mais frequentemente indicada para adultos com face curta. No entanto, alternativas ortodônticas menos invasivas podem oferecer resultados funcionais e estéticos satisfatórios em casos criteriosamente selecionados. Pacientes com altura facial anterior inferior (AFAI) diminuída, perfil côncavo e sorriso com baixa exposição dentária podem se beneficiar de protocolos biomecânicos que promovem rotação mandibular no sentido...

Leia mais
Otimizando os resultados dos alinhadores ortodônticos com mecânicas auxiliares: relatos de caso
Otimizando os resultados dos alinhadores ortodônticos com mecânicas auxiliares: relatos de caso

INTRODUÇÃO: A terapia com alinhadores é uma abordagem ortodôntica amplamente utilizada. No entanto, realizar certos movimentos, como rotação e extrusão, continua sendo desafiador. Essa dificuldade é particularmente evidenciada em dentes com formas mais arredondadas, como caninos e pré-molares, e em casos de extrusão de incisivos. Isso muitas vezes resulta em precisão reduzida do tratamento. OBJETIVO: Este estudo teve como objetivo apresentar casos clínicos em que a mecânica...

Leia mais
Comparação entre escaneamentos intrabucais e moldagens com alginato em pacientes em tratamento ortodôntico. Avaliação da percepção e preferência dos participantes: estudo piloto
Comparação entre escaneamentos intrabucais e moldagens com alginato em pacientes em tratamento ortodôntico. Avaliação da percepção e preferência dos participantes: estudo piloto

OBJETIVO: Este estudo teve como objetivo avaliar as preferências de pacientes em tratamento ortodôntico entre o escaneamento intrabucal de arcada completa e a moldagem com alginato, bem como sua percepção sobre o ortodontista que utiliza scanners intrabucais. MÉTODOS: Uma amostra de conveniência de dezesseis pacientes ortodônticos foi submetida ao escaneamento intrabucal de arcada completa e à moldagem com alginato e, imediatamente após os procedimentos, respondeu a um...

Leia mais
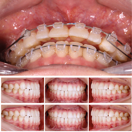
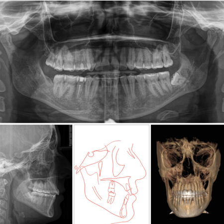
Tratamento ortodôntico-cirúrgico de má oclusão de Classe II esquelética usando alinhadores
Tratamento ortodôntico-cirúrgico de má oclusão de Classe II esquelética usando alinhadores

OBJETIVO: Relatar o caso clínico de um paciente com má oclusão de Classe II esquelética e dentária, com queixa principal inicial de roncopatia e queixa secundária sobre o perfil e a estética facial (sorriso). RELATO DO CASO: De posse dos elementos diagnósticos, avaliação clínica e facial, optou-se por um tratamento ortodôntico-cirúrgico. Após elaboração do plano digital (ClinCheck®, Align Technology) e recebimento da sequência de 67 alinhadores, seguiu-se com distalização...

Leia mais

Copyright © 1996 - 2024 DentalGO | Todos Direitos Reservados. DentalGO é uma marca Dental Press

Login