Artigo: Diferentes métodos de proteção/ação em áreas palatinas após remoção de enxertos gengivais: classificação e redução de morbidade - Periodontology 2025 v35n3 - DentalGO


Diferentes métodos de proteção/ação em áreas palatinas após remoção de enxertos gengivais: classificação e redução de morbidade

Revisão de Literatura

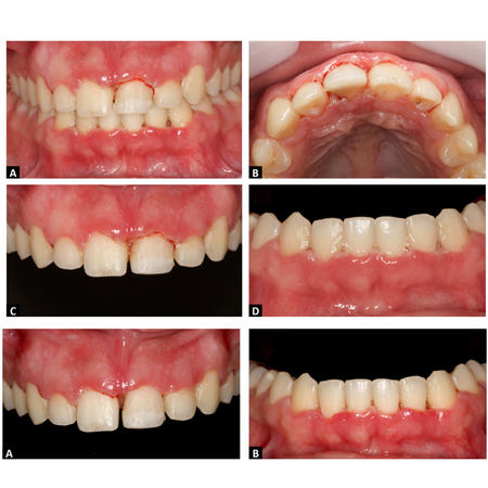
OBJETIVO: O objetivo deste estudo foi classificar os diferentes tipos de abordagens em áreas palatinas doadoras após a remoção de enxertos gengivais e, secundariamente, avaliar qual tipo de método apresenta maior eficiência na redução da dor pós-operatória. MATERIAL E MÉTODOS: Foi conduzida uma revisão narrativa, com busca nas bases PubMed/Medline, Scopus e SciELO. Foram incluídos ensaios clínicos randomizados sobre proteção do palato após coleta de enxertos gengivais e com análise de dor pelo método da escala visual analógica (EVA). Estudos foram classificados em: Sem...

Autores: Adriana Campos Passanezi Sant’ana, Carla Andreotti Damante, Mariana Schutzer Ragghianti Zangrando, Júlia Rosa MICHELATO, Victor Hugo Del Salto dos SANTOS, Sebastião Aguiar GREGHI, 

ARTIGO ANTERIOR PRÓXIMO ARTIGO
Desinformação nas redes sociais: posicionamento da Sociedade Brasileira de Periodontia e Implantodontia (SOBRAPI)
Desinformação nas redes sociais: posicionamento da Sociedade Brasileira de Periodontia e Implantodontia (SOBRAPI)

INTRODUÇÃO: O aumento recente de informações falsas e equivocadas nas redes sociais, em especial direcionada a odontólogos não especialistas em Periodontia, tem preocupado aqueles que praticam Saúde Baseada em Evidências. OBJETIVO: O objetivo deste posicionamento, direcionado a profissionais da Odontologia, é apresentar os passos necessários para tratamento da periodontite, de acordo com o Guia de Prática Clínica vigente. MÉTODOS: Este posicionamento aborda cinco alegações...

Leia mais
Entrevista com Arthur Belém Novaes Junior
Entrevista com Arthur Belém Novaes Junior

Esta edição da Brazilian Journal of Periodontology traz a entrevista com um dos pesquisadores mais influentes do mundo, segundo levantamento da Stanford University em parceria com a Elsevier, em 2025. O Prof. Arthur Belém Novaes Jr. construiu uma trajetória exemplar no ensino e na pesquisa, consolidando-se como uma das principais referências da Periodontia e Implantodontia no Brasil e no cenário internacional. Sua contribuição científica com aplicação clínica tem sido fundamental...

Leia mais
Tratamento periodontal não cirúrgico em paciente com gengivite necrosante: relato de caso
Tratamento periodontal não cirúrgico em paciente com gengivite necrosante: relato de caso

OBJETIVO: O objetivo do presente estudo foi descrever a conduta terapêutica inicial e de manutenção de uma paciente com um quadro clínico de gengivite necrosante. RELATO DE CASO: Paciente leucoderma, sexo feminino, 20 anos de idade, sem problemas sistêmicos, revelou queixa de dor e sangramento gengival à escovação. Ao exame clínico, verificou-se acúmulo de biofilme em todas as faces dentárias, com papilas interdentais e margem gengival recobertas por epitélio necrótico com...

Leia mais
Comparação entre a perfuração de baixa velocidade sem irrigação e a perfuração de alta velocidade com irrigação na perda óssea crestal peri-implantar e no sucesso do implante: uma revisão sistemática com meta-análise
Comparação entre a perfuração de baixa velocidade sem irrigação e a perfuração de alta velocidade com irrigação na perda óssea crestal peri-implantar e no sucesso do implante: uma revisão sistemática com meta-análise

OBJETIVO: Esta revisão sistemática com meta-análise teve o propósito de comparar a reabsorção óssea peri-implantar pós-cirúrgica entre duas técnicas de fresagem durante a instalação de implantes dentários: fresagem de baixa velocidade sem irrigação e fresagem de alta velocidade com irrigação. MATERIAL E MÉTODOS: Foram conduzidas buscas eletrônicas nas bases de dados PubMed, Web of Science, BVS e EMBASE para publicações até 2024. Foram incluídos ensaios clínicos...

Leia mais
Diferentes métodos de proteção/ação em áreas palatinas após remoção de enxertos gengivais: classificação e redução de morbidade
Diferentes métodos de proteção/ação em áreas palatinas após remoção de enxertos gengivais: classificação e redução de morbidade

OBJETIVO: O objetivo deste estudo foi classificar os diferentes tipos de abordagens em áreas palatinas doadoras após a remoção de enxertos gengivais e, secundariamente, avaliar qual tipo de método apresenta maior eficiência na redução da dor pós-operatória. MATERIAL E MÉTODOS: Foi conduzida uma revisão narrativa, com busca nas bases PubMed/Medline, Scopus e SciELO. Foram incluídos ensaios clínicos randomizados sobre proteção do palato após coleta de enxertos gengivais e com...

Leia mais
Acompanhamento de três anos de um caso de fibromatose gengival não sindrômica em um paciente da Mauritânia: relato de um caso clínico raro
Acompanhamento de três anos de um caso de fibromatose gengival não sindrômica em um paciente da Mauritânia: relato de um caso clínico raro

INTRODUÇÃO: A fibromatose gengival não sindrômica, também conhecida como fibromatose gengival idiopática, é uma condição rara, de etiologia desconhecida. As manifestações orais dessa condição são variadas e dependem da gravidade e da idade de acometimento. OBJETIVO: O objetivo deste artigo foi apresentar o manejo, sob anestesia geral, de um caso de fibromatose gengival difusa com acompanhamento clínico de três anos. MÉTODOS: É apresentado o relato do caso de um homem com 27...

Leia mais
Associação entre obesidade e periodontite: uma revisão sistemática
Associação entre obesidade e periodontite: uma revisão sistemática

INTRODUÇÃO: Diversas hipóteses fisiopatológicas sugerem uma influência da obesidade nos parâmetros periodontais clínicos. OBJETIVO: A presente revisão sistemática teve como objetivo investigar se a incidência ou prevalência de periodontite é maior em pessoas obesas. MATERIAL E MÉTODOS: Seguindo as diretrizes PRISMA (Preferred Reporting Items for Systematic Review and Meta-Analysis standards), foi realizada uma busca eletrônica nas bases de dados PubMed/Medline, Cochrane Library...

Leia mais
Misinformation on social media: position statement by the Brazilian Society of Periodontics and Implantology (SOBRAPI)
Misinformation on social media: position statement by the Brazilian Society of Periodontics and Implantology (SOBRAPI)

INTRODUCTION: The recent increase in false and misleading information on social media, especially directed at dentists who are not specialists in periodontics, has been a cause for concern among those who practise evidence-based healthcare. OBJECTIVE: The objective of this position statement, aimed at dental professionals, is to present the necessary steps for the treatment of periodontitis, in accordance with the current Clinical Practice Guidelines. METHODS: This position statement...

Leia mais
Interview with Arthur Belém Novaes Junior
Interview with Arthur Belém Novaes Junior

This issue of the Brazilian Journal of Periodontology features an interview with one of the world's most influential researchers, according to a 2025 survey conducted by Stanford University in partnership with Elsevier. Prof. Arthur Belém Novaes Jr. has built an exemplary career in teaching and research, establishing himself as one of the leading authorities in periodontics and implant dentistry in Brazil and internationally. His scientific contributions with clinical applications have been...

Leia mais
Non-surgical periodontal treatment for a patient with necrotizing gingivitis:
Non-surgical periodontal treatment for a patient with necrotizing gingivitis:

OBJECTIVE: To describe the initial and maintenance treatments of a patient with clinical manifestation of necrotizing gingivitis. CASE REPORT: A 20-year-old Caucasoid female patient, without systemic problems, complained of pain and gingival bleeding upon brushing. Clinical examination revealed biofilm accumulation on all tooth surfaces, with interdental papillae and gingival margins covered by necrotic epithelium with hemorrhagic areas and intense inflammatory process in both arches....

Leia mais
Comparison of low-speed drilling without irrigation and high-speed drilling with irrigation on peri-implant crestal bone loss and implant success: a systematic review with meta-analysis
Comparison of low-speed drilling without irrigation and high-speed drilling with irrigation on peri-implant crestal bone loss and implant success: a systematic review with meta-analysis

OBJECTIVE: This systematic review with meta-analysis purpose to compare post-surgical peri-implant bone resorption between two drilling techniques during dental implant installation: low-speed drilling without irrigation and high-speed drilling with irrigation. MATERIAL AND METHODS: Electronic searches PubMed, Web of Science, BVS and EMBASE databases were conducted for publications up to 2024. Randomized clinical trials with data from patients that received dental implant installation and...

Leia mais
Different methods of protection/action for palatal donor sites after gingival graft harvesting: classification and morbidity reduction
Different methods of protection/action for palatal donor sites after gingival graft harvesting: classification and morbidity reduction

OBJECTIVES: This study aims to categorize different approaches used in palatal donor sites after gingival grafts removal and, additionally, to determine which approach is most effective in minimizing postoperative pain. MATERIAL AND METHODS: A narrative review was conducted through searches in PubMed/Medline, Scopus and SciELO. Randomized clinical trials evaluating palatal protection after gingival graft harvesting and reporting postoperative pain using the visual analog scale (VAS) were...

Leia mais
A 3-year follow-up of a non-syndromic gingival fibromatosis in a sub-Saharian male in Mauritania: a rare clinical case report
A 3-year follow-up of a non-syndromic gingival fibromatosis in a sub-Saharian male in Mauritania: a rare clinical case report

INTRODUCTION: Non syndromic gingival fibromatosis also known as idiopathic gingival fibromatosis is a rare condition, with an unknown aetiology. The oral manifestations of this condition are varied and depend on the severity and age of involvement. OBJECTIVE: The aim of this paper was to present the management under general anesthesia of a diffuse gingival fibromatosis with a 3 years clinical follow-up. METHODS: We report a case of a 27-year-old sub-Saharian male who consulted the...

Leia mais
Association between obesity and periodontitis: a systematic review
Association between obesity and periodontitis: a systematic review

INTRODUCTION: Several pathophysiological hypotheses suggest an influence of obesity on clinical periodontal parameters. OBJECTIVE: This systematic review aimed to investigate whether the incidence or prevalence of periodontitis is higher in obese people. MATERIAL AND METHODS: Following the PRISMA guidelines (Preferred Reporting Items for Systematic Review and Meta-Analysis standards), an electronic search was carried out in the PubMed/Medline, Cochrane library and Embase databases,...

Leia mais

Copyright © 1996 - 2024 DentalGO | Todos Direitos Reservados. DentalGO é uma marca Dental Press

Login