Clinical 2026 v25n01 - DentalGO
ABOR ALADO
Volume 25 • Número 01 • 2026

Clinical 2026 v25n01

Clinical 2026 v25n01

Artigos nesta edição

Entrevista

Entrevista com Basilio José Bernal Junior

Fiquei muito feliz e honrado por ter sido convidado para ser coordenador da entrevista e apresentar o colega e amigo prof. Dr. Basilio José Bernal Junior. Parece fácil, mas é uma enorme responsabilidade falar sobre o prof. Basilio, po...
Dica Clínica

Table Tops: uma alternativa inovadora para manejo da mordida profunda

INTRODUÇÃO: A sobremordida profunda é uma das alterações verticais mais comuns e desafiadoras da Ortodontia, exigindo controle preciso da dimensão vertical e do plano oclusal. Os Table Tops, tradicionalmente utilizados na Odontolog...
Mordida Profunda Dimensão Vertical Levantamento De Mordida Ortodontia Digital cad/cam Table Top
Biomecânica

A colagem mais cervical influencia a expressão do torque em braquetes inferiores?

INTRODUÇÃO: A colagem mais cervical dos braquetes inferiores é amplamente utilizada para reduzir contatos oclusais e falhas de colagem. Porém, persiste a dúvida se essa variação na altura de colagem pode influenciar a expressão d...
colagem torque Braquetes Ortodônticos Folga fio-canaleta
Recursos em Ortodontia

Ortho Stable: evolução conceitual da ancoragem esquelética em Ortodontia

INTRODUÇÃO: A ancoragem esquelética consolidou-se como um marco na Ortodontia contemporânea, permitindo mecânicas complexas com maior previsibilidade. Miniplacas e mini-implantes ampliaram significativamente as possibilidades terap�...
ortodontia Ancoragem Esquelética mini-implantes miniplacas Crista infrazigomática Inovação em Ortodontia
Caso Clínico

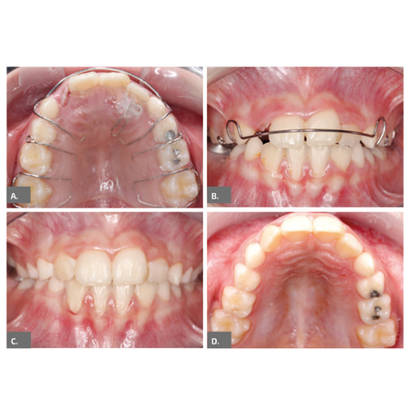
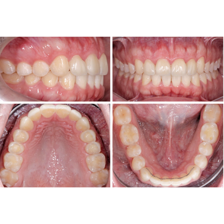
Correção eficiente da mordida cruzada dentária e organização do espaço na região anterior superior em paciente na dentição mista: relato de caso

INTRODUÇÃO: A mordida cruzada anterior dentária (MCAD) é definida como uma má oclusão sagital, resultante da alteração no posicionamento anteroposterior de um ou mais dentes anteriores superiores em relação a seus antagonistas...
Mordida Cruzada Anterior Aparelho ortodôntico removível Mantenedor de espaço fixo
Caso Clínico

Adaptações no manejo comportamental em tratamento ortodôntico de paciente com transtorno do espectro autista: relato de caso

INTRODUÇÃO: O tratamento ortodôntico de indivíduos com Transtorno do Espectro Autista (TEA) pode ser desafiador devido às necessidades comportamentais, sensoriais e de comunicação associadas à condição. Esses fatores frequentem...
Aparelho Ortodôntico Fixo Transtorno do espectro autista Modificação comportamental
Caso Clínico

Tratamento de caninos superiores impactados bilateralmente, com incisivo lateral reabsorvido: relato de caso

INTRODUÇÃO: Caninos superiores impactados estão associados ao risco de reabsorção radicular em dentes adjacentes, necessitando de uma intervenção ortodôntica complexa e cuidadosamente planejada. OBJETIVO: O presente artigo aprese...
Extração Dentária Reabsorção Radicular Canino Impactado Tração Ortodôntica
Controvérsias na Ortodontia

Os fósseis mais antigos e a anodontia parcial: reflexões

INTRODUÇÃO: A partir do trabalho de Oliveira, em 1988, detectamos que os portadores de anodontia parcial apresentavam uma redução significativa da distância mesiodistal dos dentes remanescentes. MÉTODOS: Para comparar, analisamos 8...
dentes maxilares morfologia antropologia
Original Article

Interview with Basilio José Bernal Junior

I was very happy and honored to have been invited to coordinate the interview and introduce my colleague and friend, Professor Dr. Basilio Jose Bernal Junior. It seems easy, but it's a huge responsibility to talk about Professor Basilio,...
Original Article

Table Tops: an innovative alternative for managing deep overbite

INTRODUCTION: Deep overbite is one of the most prevalent and challenging vertical discrepancies in Orthodontics, requiring accurate control of vertical dimension and occlusal plane. Table Tops, originally used in Restorative Dentistry fo...
cad/cam Digital orthodontics Vertical dimension Deep overbite Table Top Bite raiser
Original Article

Does more cervical bonding influence torque expression in mandibular brackets?

INTRODUCTION: Cervical positioning of mandibular brackets is commonly used to reduce occlusal contacts and bond failures. The question remains whether variations in bonding height influence torque expression in posterior mandibular teeth...
torque bonding Orthodontic brackets Wire-slot play
Original Article

Ortho Stable: conceptual evolution of skeletal anchoring in Orthodontics

INTRODUCTION: Skeletal anchorage has become a landmark in contemporary orthodontics, allowing for complex mechanics with greater predictability. Miniplates and mini-implants have significantly expanded therapeutic possibilities; however, bo...
orthodontics Mini-implants Skeletal anchorage Miniplates Infrazygomatic crest Innovation in Orthodontics
Original Article

Efficient correction of dental crossbite and space management in the maxillary anterior region in a patient with mixed dentition: case report

INTRODUCTION: Anterior dental crossbite (ADC) is defined as a sagittal malocclusion, resulting from a change in the anteroposterior positioning of one or more maxillary anterior teeth in relation to their lower antagonists. OBJECTIVE: Re...
Anterior dental crossbite Orthodontic removable appliance Fixed space maintaining appliance
Original Article

Behavioral management adaptations in orthodontic treatment of patient with autism spectrum disorder: a case report

INTRODUCTION: Orthodontic management of individuals with Autism Spectrum Disorder (ASD) can be challenging, due to the behavioral, sensory and communication needs associated with the condition. These factors often coexist with dental ano...
Autistic spectrum disorder Behavior modification Appliance, fixed orthodontic
Original Article

The oldest fossils and partial anodontia: reflections

INTRODUCTION: Based on Oliveira’s work in 1988, we detected that individuals with partial anodontia presented a significant reduction in the mesiodistal distance of the remaining teeth. METHODS: For comparison, we analyzed 82 patients...
teeth Morphology Jaws Anthropology