Clinical 2025 v24n06 - DentalGO
ABOR ALADO
Volume 24 • Número 06 • 2025

Clinical 2025 v24n06

Clinical 2025 v24n06

Artigos nesta edição

Entrevista

Entrevista com Paula Oltramari

É com muita alegria que apresento a entrevista com a Profa. Paula Oltramari, uma das maiores pesquisadoras da área da Ortodontia no Brasil. Acompanho sua carreira de perto desde os tempos em que a Paulinha, como eu carinhosamente a chamo,...
Caso Clínico

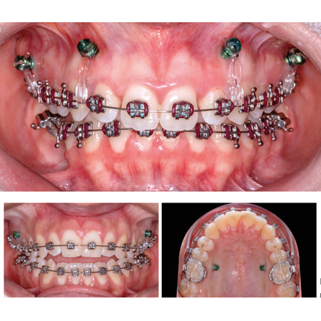
Correção da Classe II subdivisão com alinhadores ortodônticos e ancoragem esquelética: relato de caso

INTRODUÇÃO: Para tratamentos da má oclusão de Classe II sem extrações dentárias, a distalização de molares é uma das opções para correções de 2 a 3 mm. OBJETIVO: Apresentar, por meio de um relato clínico, um tratamento de...
Aparelhos Ortodônticos Removíveis Má oclusão Classe II de Angle Microimplantes ortodônticos
Caso Clínico

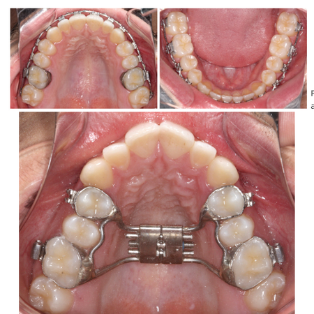
Desafios no tratamento de pacientes com discrepâncias verticais: abordagens clínicas com mini-implantes

INTRODUÇÃO: Os pacientes adultos têm, cada vez mais, buscado tratamentos ortodônticos sem recorrer à cirurgia ortognática. Em alguns casos, sejam eles de mordida aberta anterior ou de mordida profunda, é possível usar mini-implan...
Cirurgia Ortognática Mordida Aberta Ancoragem Ortodôntica Intrusão Dentária Mini-implantes
Caso Clínico BBO

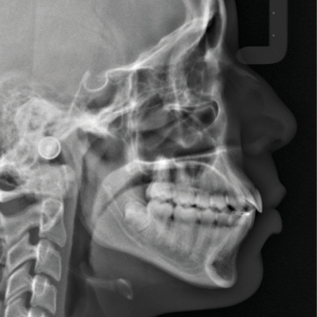
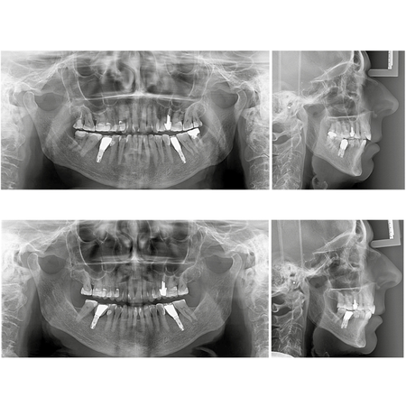
Tratamento ortodôntico-reabilitador de Classe II e mordida aberta anterior em paciente com implantes na região dos primeiros molares inferiores: relato de caso tratado com alinhadores

INTRODUÇÃO: Os alinhadores ortodônticos têm sido uma alternativa aos braquetes, especialmente em pacientes adultos, que buscam conforto e estética. OBJETIVO: O presente caso clínico apresenta uma paciente de 72 anos de idade que bu...
Classe Ii Tratamento Ortodôntico Mordida Aberta Anterior Implantes Dentários Tratamento protético Laminados de cerâmica
Controvérsias na Ortodontia

Disjunção palatina anteroposterior e a pré-maxila

OBJETIVO: Fundamentar biologicamente a proposta de disjunção palatina anteroposterior em casos devidamente selecionados. METODOLOGIA: Utilizou-se a amostra de dissertação de mestrado de Trevizan (2018) e suas inferências, para funda...
Disjunção Palatina Disjunção palatina anteroposterior
Original Article

Interview with Paula Oltramari

It is with great joy that I present this interview with Professor Paula Oltramari, one of the leading researchers in the field of Orthodontics in Brazil. I have followed her career closely since the time when “Paulinha”, as I affecti...
Original Article

Class II subdivision correction with clear aligners and skeletal anchorage: a case report

INTRODUCTION: For treating Class II malocclusion without dental extractions, molar distalization is one of the preferred options for corrections of 2 to 3 mm. OBJECTIVE: To present, through a clinical case report, the treatment of a Clas...
Angle Class II malocclusion Orthodontic appliances, removable Orthodontic microimplants
Original Article

Orthodontic-rehabilitative treatment of Class II malocclusion and anterior open bite in a patient with implants in the lower first molar region: case report treated with aligners

INTRODUCTION: Orthodontic aligners have emerged as an alternative to fixed appliances, particularly for adult patients seeking greater comfort and improved esthetics. OBJECTIVE: This clinical case report describes a 72-yearold female patien...
Class II malocclusion Dental implants Orthodontic treatment Anterior open bite Ceramics veneers Prosthetic treatment
Original Article

Anteroposterior palatal disjunction and the premaxilla

OBJECTIVE: To biologically substantiate the proposal of anteroposterior palatal disjunction in properly selected cases. METHODOLOGY: The sample from Trevizan’s (2018) master’s dissertation and its inferences were used to support the...
Palatal disjunction Anteroposterior palatal disjunction
Artículo Original

Entrevista con Paula Oltramari

Con gran alegría presento esta entrevista con la profesora Paula Oltramari, una de las investigadoras más destacadas en el campo de la Ortodoncia en Brasil. He seguido de cerca su trayectoria desde que Paulinha, como la llamo cariñosa...
Artículo Original

Corrección de la maloclusión de Clase II subdivisión con alineadores ortodóncicos y anclaje esquelético: reporte de caso

INTRODUCCIÓN: Para el tratamiento de la maloclusión de Clase II sin extracciones dentales, la distalización de molares es una opción para correcciones de 2 a 3 mm. OBJETIVO: Presentar, a través de un reporte clínico, un tratamiento...
Maloclusión de Clase II de Angle Aparatos ortodóncicos removibles Microimplantes ortodóncicos
Artículo Original

Desafíos en el tratamiento de pacientes con discrepancias verticales: abordajes clínicos con microimplantes

INTRODUCCIÓN: Cada vez más pacientes adultos buscan tratamiento de Ortodoncia sin recurrir a la cirugía ortognática. En algunos casos, ya sea mordida abierta anterior o mordida profunda, es posible utilizar microimplantes para propor...
Microimplantes Cirugía ortognática Mordida abierta Anclaje ortodóncico Intrusión dental
Artículo Original

Tratamiento ortodóncico-rehabilitador de maloclusión de Clase II y mordida abierta anterior en un paciente con implantes en región de primeros molares inferiores: reporte de un caso tratado con alineadores

INTRODUCCIÓN: Los alineadores ortodóncicos han sido una alternativa a los brackets, especialmente para pacientes adultos que buscan comodidad y estética. OBJETIVO: Este caso clínico presenta a una paciente de 72 años que buscó trat...
Implantes dentales Mordida abierta anterior Tratamiento de ortodoncia Maloclusión de Clase II Laminados de cerâmica Tratamiento protésico
Artículo Original

Disyunción palatina anteroposterior y la premaxila

OBJETIVO: Fundamentar biológicamente la disyunción palatina anteroposterior propuesta en casos debidamente seleccionados. METODOLOGÍA: La muestra de la tesis de maestría de Trevizan (2018) y sus inferencias se utilizaron para fundame...
Disyunción palatina Disyunción palatina anteroposterior