Clinical 2025 v24n05 - DentalGO
ABOR ALADO
Volume 24 • Número 05 • 2025

Clinical 2025 v24n05

Clinical 2025 v24n05

Artigos nesta edição

Entrevista

Entrevista com Eduardo Sant’Ana

Com muita honra e apreço apresento-lhes nesta entrevista o meu amigo, o pesquisador, o mentor, o clínico... o Prof. Eduardo Sant’Ana. Em 1997, tive a oportunidade e o privilégio de conhecer o Eduardo no meu curso de Doutorado em Ort...
Dica Clínica

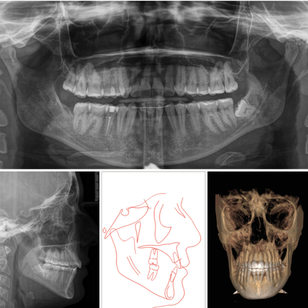
Compensação dentoesquelética extrema de mordida aberta anterior esquelética severa tratada com Invisalign®

INTRODUÇÃO: A mordida aberta anterior é uma má oclusão desafiadora, frequentemente associada a discrepâncias esqueléticas e verticais. Com a evolução da tecnologia dos alinhadores transparentes, o Invisalign® tornou-se uma opç...
invisalign® Mordida Aberta Anterior Alinhadores Transparentes
Recursos em Ortodontia

Prevalência e necessidade de customização em expansores MARPE: influência anatômica e biomecânica em 120 casos planejados digitalmente

OBJETIVO: Avaliar a prevalência e os fatores anatômicos e biomecânicos que determinaram o grau de customização em expansores maxilares tipo MARPE planejados digitalmente. MÉTODOS: Foram analisados 120 planejamentos consecutivos rea...
Expansão Rápida Da Maxila Planejamento Digital Ortodontia De Precisão marpe Dispositivos De Ancoragem Temporária Customização 3D
Soluções e protocolos clínicos

Protocolo de aumento da altura facial anterior inferior em pacientes adultos não cirúrgicos. Uma abordagem biomecânica conservadora, com rotação horária da mandíbula: relato de caso

INTRODUÇÃO: A abordagem cirúrgica representa a terapêutica mais frequentemente indicada para adultos com face curta. No entanto, alternativas ortodônticas menos invasivas podem oferecer resultados funcionais e estéticos satisfatórios...
ortodontia sorriso Estética Facial
Caso Clínico

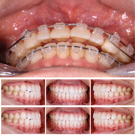
Otimizando os resultados dos alinhadores ortodônticos com mecânicas auxiliares: relatos de caso

INTRODUÇÃO: A terapia com alinhadores é uma abordagem ortodôntica amplamente utilizada. No entanto, realizar certos movimentos, como rotação e extrusão, continua sendo desafiador. Essa dificuldade é particularmente evidenciada em...
Aparelhos Ortodônticos Removíveis Extrusão Ortodôntica Técnicas De Movimentação Dentária
Artigo Original

Comparação entre escaneamentos intrabucais e moldagens com alginato em pacientes em tratamento ortodôntico. Avaliação da percepção e preferência dos participantes: estudo piloto

OBJETIVO: Este estudo teve como objetivo avaliar as preferências de pacientes em tratamento ortodôntico entre o escaneamento intrabucal de arcada completa e a moldagem com alginato, bem como sua percepção sobre o ortodontista que uti...
Qualidade De Vida Pesquisas e questionários Conforto do paciente Preferência do paciente Escaneamento intrabucal
Original Article

Interview with Eduardo Sant’Ana

With great honor and appreciation, I present to you in this interview my friend, researcher, mentor, clinician... Professor Eduardo Sant’Ana. In 1997, I had the opportunity and privilege of meeting Eduardo during my Doctoral studies in...
Original Article

Extreme dentoalveolar compensation of a severe skeletal anterior open bite with Invisalign®

INTRODUCTION: Anterior open bite is a challenging malocclusion, often associated with skeletal and vertical discrepancies. With the evolution of clear aligner technology, Invisalign® has become a viable option for treating complex cases...
invisalign Clear aligners Anterior open bite
Original Article

Prevalence and need for customization in MARPE expanders: anatomical and biomechanical influence in 120 digitally planned cases

OBJECTIVE: To evaluate the prevalence and the anatomical and biomechanical factors that determined the degree of customization in digitally planned MARPEtype maxillary expanders. METHODS: A total of 120 consecutive digital plans were analyz...
marpe Temporary anchorage devices Rapid maxillary expansion Digital planning Precision orthodontics 3D customization
Original Article

Protocol for increasing the lower anterior facial height in non-surgical adult patients. A conservative biomechanical approach with clockwise rotation of the mandible: case report

INTRODUCTION: The surgical approach remains the most frequently recommended therapy for adults with a short face. However, less invasive orthodontic alternatives may offer satisfactory functional and esthetic outcomes in carefully select...
smile Orthodontics Facial esthetics
Original Article

Optimizing clear aligner outcomes with auxiliary mechanics: case reports

INTRODUCTION: Clear aligner therapy is a widely used orthodontic approach; however, achieving certain movements, such as rotation and extrusion, remains challenging. These difficulties are particularly pronounced in rounded teeth, such a...
Tooth Movement Techniques Orthodontic extrusion Orthodontic appliances, removable
Original Article

Comparison of intraoral scans and alginate impression on on-going orthodontic patients. Subjects’ perception and preference evaluation: pilot study

INTRODUCTION: This study aimed to assess on-going orthodontic patients’ preferences between full-arch intraoral scanning and alginate impression, and also their perception about the orthodontist who uses intraoral scanners. METHODS: A...
Quality of life Surveys and Questionnaires Patient comfort Patient preference Intraoral scanning
Original Article

Orthodontic-surgical treatment of skeletal Class II malocclusion using aligners

OBJECTIVE: To describe the clinical management of a patient with skeletal and dental Class II malocclusion, presenting with snoring as the chief complaint and secondary concerns related to facial profile and smile aesthetics. CASE REPORT...
aesthetics Malocclusion Surgery Snoring Aligners
Artículo Original

Entrevista con Eduardo Sant’Ana

Con gran honor y agradecimiento, les presento en esta entrevista a mi amigo, investigador, mentor y clínico... el profesor Eduardo Sant’Ana. En 1997, tuve la oportunidad y el privilegio de conocer a Eduardo durante mis estudios de Doc...
Artículo Original

Compensación dentoesquelética extrema para mordida abierta anterior esquelética severa tratada con Invisalign

INTRODUCCIÓN: : La mordida abierta anterior es una maloclusión compleja, a menudo asociada con discrepancias esqueléticas y verticales. Con la evolución de la tecnología de alineadores transparentes, (los alineadores) Invisalign® s...
invisalign® Alineadores transparentes Mordida abierta anterior
Artículo Original

Prevalencia y necesidad de personalización en expansores MARPE: influencia anatómica y biomecánica en 120 casos planificados digitalmente

OBJETIVO: Evaluar la prevalencia y los factores anatómicos y biomecánicos que determinan el grado de personalización en expansores maxilares tipo MARPE planificados digitalmente. MÉTODOS: Se analizaron 120 planes de tratamiento conse...
marpe Expansión rápida de la maxila Dispositivo de anclaje temporal Planificación digital Ortodoncia de precisión Personalización 3D
Artículo Original

Protocolo para aumentar la altura facial anterior inferior en pacientes adultos no quirúrgicos. Abordaje biomecánico conservador, con rotación horaria de la mandíbula: reporte de un caso

INTRODUCCIÓN: Los abordajes quirúrgicos son el tratamiento más frecuentemente indicado para adultos con rostros cortos. Sin embargo, alternativas de Ortodoncia menos invasivas pueden ofrecer resultados funcionales y estéticos satisfacto...
Estética Facial Ortodoncia Sonrisa
Artículo Original

Optimización de los resultados del tratamiento con alineadores Ortodóncicos mediante mecánicas auxiliares: reporte de casos

INTRODUCCIÓN: La terapia con alineadores es un enfoque ortodóncico ampliamente utilizado. Sin embargo, la realización de ciertos movimientos, como la rotación y la extrusión, sigue siendo un desafío. Esta dificultad es particularme...
Aparatos ortodóncicos removibles Extrusión ortodóncica Alineadores ortodóncicos Movimiento dentario
Artículo Original

Comparación entre escaneos intraorales e impresiones de alginato en pacientes sometidos a tratamiento de Ortodoncia. Evaluación de la percepción y preferencia de los participantes: un estudio piloto

OBJETIVO: Este estudio tuvo como objetivo evaluar las preferencias de los pacientes sometidos a tratamiento de Ortodoncia entre el escaneo intraoral de arcada completa y las impresiones de alginato, así como su percepción del ortodonci...
Calidad de vida Investigación y cuestionarios Comodidad del paciente Preferencias del paciente Escaneo intraoral